3월 19일 수요일
작은 개와 함께 테이블에 앉아 있는 갈색 머리의 중년 여성
비키 맥케이그는 비용 때문에 2년 동안 치과 방문을 미루었습니다. (ABC 뉴스: 스콧 프레스턴)
비키 맥케이그는 이제 치아에 극심한 통증을 느끼지 않고 다시 아이스크림을 즐길 수 있습니다.
시드니에 사는 71세의 할머니는 치과 치료 비용 때문에 2년 동안 치과 방문을 미루었습니다.
맥케이그 씨는 “은퇴한 노인으로서 놀 수 있는 돈이 많지 않아서 치아는 우선순위가 아니었습니다.”라고 말했습니다.
맥케이그 씨가 경험한 쏘는 듯한 통증과 잇몸 출혈은 충치와 잇몸 질환의 결과였습니다.
“차가운 음식을 먹었을 때 날카로운 통증이 느껴졌고 정말 먹는 것을 멈춰야 했어요.”라고 그녀는 말했습니다.
McKaig 씨가 자신의 주치의를 방문했을 때 치아를 고칠 기회가 생겼고, 주치의는 그녀를 노인을 위한 무료 치과 시범 프로그램에 추천했습니다.
거울을 보며 이를 닦는 갈색 머리의 중년 여성
Vicki McKaig 씨는 시범 프로그램 덕분에 치아를 고칠 수 있었습니다.(ABC 뉴스: Scott Preston)
무료 치료 덕분에 병원 응급실을 방문할 필요가 없었습니다.
하지만 수천 명의 다른 노인 호주인들은 운이 좋지 않습니다.
공유할 이야기가 있으신가요? Specialist.Team@abc.net.au로 이메일을 보내주세요.
호주 보건 복지 연구소의 데이터에 따르면, 2022-23년에 65세 이상의 호주인 약 16,000명이 예방 가능한 치과 문제로 입원했습니다. 2016-17년의 약 10,500명에서 증가한 수치입니다.
호주 치과의사 협회(ADA)의 예측에 따르면, 2027-28년까지 이 수치는 42% 더 증가할 가능성이 높습니다.
다음 주 예산을 앞두고 ADA는 연방 정부에 노령 호주인의 구강 건강을 국가적 우선순위로 삼고, 자격이 있는 노인에게 2년마다 최대 $1,132의 무료 치과 치료를 제공하는 노인 치과 혜택 제도(SDBS)에 전념할 것을 촉구했습니다.
최고 기관은 65세 이상의 약 280만 명의 호주인이 이 제도의 자격이 있을 것으로 추정하며, 이는 아동 치과 혜택 일정과 유사하게 작동합니다.
ADA 회장인 크리스 산자로는 예방 검진, 세척 및 엑스레이를 위해 사람들이 더 일찍 문을 열 수 있을 것이라고 말했습니다.
그는 “치과적 문제가 훨씬 작을 때 발견되면 치료를 더 쉽게 받을 수 있고 비용 효율성이 높아집니다. 훨씬 더 나은 결과입니다.”라고 말했습니다.
파란색 수술복과 검은색 안경을 쓴 한 남자가 베이지색 캐비닛과 치과 스캔이 있는 컴퓨터 화면 앞에 앉아 있습니다.
Chris Sanzaro는 ADA가 의료 또는 연금 카드를 소지한 65세 이상의 사람들이 정부 자금 지원 제도에 접근할 수 있기를 바란다고 말합니다.(ABC 뉴스: Morgan Timms)
태즈매니아 론세스턴에서 진료하는 Sanzaro 박사는 노인들이 GP나 병원 응급실에 찾아왔을 때 치과 문제로 항생제와 진통제를 투여받고 있다고 말했습니다.
“그들은 그 사람들을 돕기 위해 최선을 다할 것입니다… 하지만 GP와 응급실 의사들은 아무리 노력해도 치과 의사가 아니기 때문에 확실한 치과 치료를 제공할 수 없습니다.”라고 그는 말했습니다.
파란색 수술복과 검은색 안경을 쓴 한 남자가 환자용 의자 옆에 앉아 있고, 그의 얼굴은 위에 있는 치과 조명으로 인해 빛나고 있습니다.
크리스 산자로는 일반의와 응급의가 치과 문제를 다루기 위해 최선을 다하지만 치과 건강에 대해서는 잘 모른다고 말합니다.(ABC 뉴스: 모건 팀스)
더 많은 돈에 대한 ‘절실한’ 필요성
SDBS라는 아이디어는 새로운 것이 아닙니다.
2021년, 노인 요양 시설의 질과 안전에 대한 왕립 위원회의 최종 보고서는 정부가 2023년 1월까지 노인 치과 제도를 설립할 것을 권고했습니다.
그런 다음 2023년 11월, 호주의 치과 서비스 제공 및 접근성에 대한 상원 보고서도 정부가 SDBS를 설립할 것을 권고했습니다.
산자로 박사는 “꽤 실망스럽습니다… 이 분야에서 행동을 촉구하는 기관들이 많이 있었지만 아무 소용이 없습니다.”라고 말했습니다.
어두운 배경의 강렬한 스포트 조명 아래에서 플라스틱 모델 턱에서 들어올린 작은 이를 잡고 있는 손의 클로즈업.
여러 문의에서 SBDS를 설립할 것을 권고했습니다.(ABC 뉴스: 모건 팀스)
의회 예산국은 이 제도의 비용을 2025-26년에 11억 4천만 달러, 2026-27년에 12억 6천만 달러로 추산했습니다.
40년 경력의 치과 의사인 마크 워더스푼은 노인 치과 치료에 대한 공적 자금 지원이 “절실히” 필요하다고 말했습니다.
“노인 요양 시설에 입소하기 전에 수년간 방치되는 것을 보고 있는데, 슬픈 사실은 거의 대부분 약간의 치료로 예방할 수 있다는 것입니다.”라고 그는 말했습니다.
안경을 쓰고 정장을 입은 중년 남성이 서 있습니다.
마크 워더스푼은 노인 치과 치료에 대한 정부 자금 지원이 “절실히” 필요하다고 말했습니다.(ABC 뉴스: 스콧 프레스턴)
워더스푼 박사는 진료의 일환으로 20명의 노인을 방문합니다.
Dentists call for free oral health scheme for seniors as hospitalisations surge
By the Specialist Reporting Team’s Celina Edmonds and national health reporter Elise Worthington
Wed 19 MarWednesday 19 March
abc.net.au/news/seniors-dental-benefits-scheme-hospitalisations/105002962Copy link
Link copiedShare article
Vicki McKaig can now enjoy ice cream again without experiencing excruciating pain from her teeth.
The 71-year-old Sydney grandmother put off visits to the dentist for two years due to the cost of dental treatment.
“Being a retired senior, you never have that much money to play around with so my teeth weren’t a priority,” Ms McKaig said.
The shooting pains and bleeding gums Ms McKaig experienced were the result of cavities and gum disease.
“When I had cold food, it was like a sharp pain and I had to really stop eating,” she said.
The opportunity to get her teeth fixed came when Ms McKaig visited her GP, who put her forward for a trial dental scheme for seniors which treated her for free.
The free treatment meant she didn’t have to visit a hospital emergency department.
But thousands of other elderly Australians are less lucky.
Do you have a story to share? Email Specialist.Team@abc.net.au
In 2022-23 nearly 16,000 Australians aged over 65 were hospitalised with potentially preventable dental issues — an increase from about 10,500 in 2016-17, data from the Australian Institute of Health and Welfare shows.
By 2027-28, that figure is likely to increase by a further 42 per cent, according to projections by the Australian Dental Association (ADA).
Ahead of next week’s budget, the ADA has called on the federal government to make the oral health of older Australians a national priority and commit to a Seniors Dental Benefits Scheme (SDBS), which would provide a capped maximum of $1,132 of free dental treatment to eligible seniors every two years.
The peak body estimates about 2.8 million Australians over the age of 65 would be eligible for the scheme, which would work similarly to the Child Dental Benefits Schedule.
ADA president Chris Sanzaro said it would get people in the door earlier for preventative check-ups, cleans and X-rays.
“Finding those [dental] problems when they’re a lot smaller makes the treatment easier to achieve and more cost-effective … it’s a way better outcome,” he said.
Dr Sanzaro, who practices out of Launceston in Tasmania, said seniors were being treated with antibiotics and painkillers for their dental issues when they presented to their GP or hospital emergency department.
“They’re going to do the best they can to help those people … but GPs and emergency department doctors, try as they might, they’re not dentists and they can’t provide definitive dental treatment,” he said.
‘Desperate’ need for more money
The idea of a SDBS is not new.
In 2021, the final report of the Royal Commission into Aged Care Quality and Safety recommended the government establish a seniors dental scheme by January 2023.
Then in November 2023, a Senate report into the Provision of and Access to Dental Services in Australia also recommended the government establish a SDBS.
“It’s rather frustrating … there’s been a whole bunch of bodies calling for action in this space and it’s falling on Deaf ears,” Dr Sanzaro said.
The cost of the scheme has been calculated by the Parliamentary Budget Office as $1.14 billion in 2025-26 and $1.26 billion in 2026-27.
Mark Wotherspoon, a dentist of 40 years, said the need for more public funding for seniors’ dental care was “desperate”.
“I am seeing years of neglect prior to people entering aged care facilities and the sad thing is, nearly all of it can be prevented with a little bit of treatment,” he said.
As part of his practice, Dr Wotherspoon visits 20 aged care facilities around Wagga Wagga in NSW.
“There’s no doubt that a SDBS would see almost an immediate impact on the state of oral health and oral health-related quality of life in aged care,” he said.
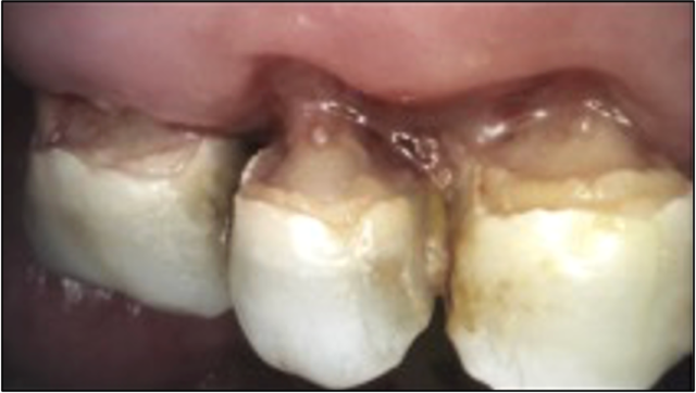
Dr Wotherspoon shared clinical photos with the ABC of some of the cases of poor oral health that he’d witnessed in nursing homes.
Swipe to see the photosCarousel
WARNING: The following slides are real images of teeth and gums belonging to older Australians in nursing homes. Some readers may find them graphic. (Supplied: Mark Wotherspoon)
Chipped front teeth.
Plaque build-up after months of lack of oral hygiene support.
Rampant tooth decay due to dry mouth and poor oral hygiene.
Dirty dentures, causing oral thrush.
Broken teeth and gum infections.
1 / of6
He said the photos reflected the dental health of seniors across Australia, not just in Wagga Wagga.
“All our seniors want and deserve is to be able to chew their food and hug their grandchildren and you can’t do that with a mouth full of busted teeth,” he said.
Health Minister Mark Butler said the government had no immediate plans to change the way dental care was funded.
What matters to you this federal election?
“I’ve tried to be honest with people that the government’s focus right now is strengthening Medicare and rebuilding general practice after a decade of cuts and neglect from the Liberals,” Mr Butler said in a statement.
“I can’t say to people that in the short term there’s going to be any change to dental, but I do recognise in the longer term there’s a lot of ambition for dental to be covered by Medicare.”
The opposition was contacted for comment.
The Greens have had a policy for more than a decade of funding dental treatment for all Australians through Medicare.
Dr Sanzaro said while that model was admirable, it was “unaffordable and unachievable” with the estimated cost up to $13 billion.
“We think we’re much better off spending taxpayer money looking at areas of the population where people can’t currently access dental care, like our most vulnerable seniors,” he said.
‘They need something for people like me’
Like thousands of other senior Australians, Adelaide pensioner Bill Henderson is having to wait to have his teeth fixed, with uncomfortable consequences.
“The longer I leave it, the worse it gets,” he said.
The 84-year-old grandfather wears a partial upper denture and his lower teeth have deteriorated.
Mr Henderson had some work done last year at a state government clinic, but they couldn’t treat all his dental issues as it was too expensive.
He’s now waiting and spreading out the treatment with his dentist, to be able to afford it.
If a SDBS existed, Mr Henderson would be eligible.
“They need to have something like Medicare for people like me,” he said.
“I’d call it Dentacare.”
Do you know more? Share it with us
All fields are required unless marked optional.EmailFirst nameLast nameWhat do you want to tell us about?Are you willing to be interviewed for a story?Select an option
Location selector
Enter a suburb or postcode in Australia and select from the listLocationMobile phoneI agree to the ABC Terms of Use and collection of my sensitive information. See ABC Crowdsourcing Collection Statement to learn more.requiredAttachments (optional)
Select, drag and drop or copy and paste files (maximum size: 1 GB)Submit
This site is protected by reCAPTCHA and the Google Privacy Policy and Terms of Service apply.










